
Perbedaan Abses, Kista, dan Granuloma pada Gigi
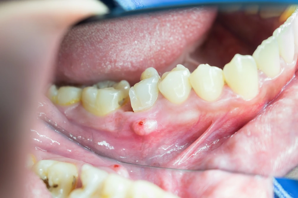
Masalah pada akar gigi sering kali disebabkan oleh infeksi yang berasal dari gigi berlubang atau gigi yang sarafnya sudah mati. Infeksi ini bisa berkembang menjadi

Masalah pada akar gigi sering kali disebabkan oleh infeksi yang berasal dari gigi berlubang atau gigi yang sarafnya sudah mati. Infeksi ini bisa berkembang menjadi

Ameloblastoma adalah tumor jinak odontogenik (berasal dari jaringan pembentuk gigi) yang paling sering ditemukan di rahang, terutama rahang bawah (mandibula) bagian posterior (daerah molar atau

Kesehatan rongga mulut merupakan bagian integral dari kesehatan tubuh secara keseluruhan. Kondisi sistemik seseorang dapat memengaruhi kesehatan gigi dan jaringan pendukungnya, serta respons terhadap tindakan

Nursing Baby Syndrome (NBS), atau yang lebih dikenal sebagai Nursing Bottle Caries atau Early Childhood Caries (ECC), adalah bentuk karies gigi pada anak usia dini

Fluor adalah mineral penting yang berperan sebagai “perisai” alami untuk melindungi gigi dari kerusakan. Fluor banyak ditemukan dalam pasta gigi, obat kumur, serta perawatan profesional

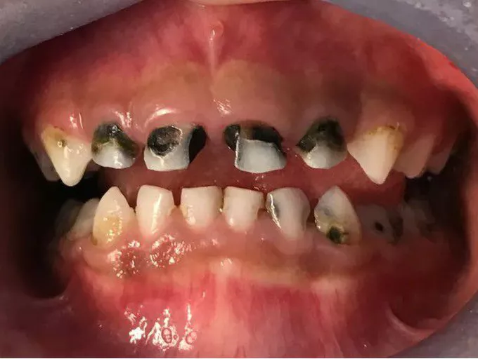
Gigi berlubang (dental caries) terjadi akibat proses de-mineralisasi enamel dan dentin oleh asam yang diproduksi bakteri, terutama Streptococcus mutans dan Lactobacillus. Ketika lubang semakin dalam, kerusakan mencapai lapisan dentin dan akhirnya pulpa, tempat
Senin – Sabtu : 9am – 9pm
Minggu : 12am – 9pm