
Hubungan Diabetes dengan Penyakit Gusi
Diabetes tidak hanya memengaruhi gula darah, tapi juga kesehatan gusi. Penyakit gusi bisa lebih parah pada penderita diabetes dan sebaliknya, infeksi gusi dapat mempersulit pengendalian

Diabetes tidak hanya memengaruhi gula darah, tapi juga kesehatan gusi. Penyakit gusi bisa lebih parah pada penderita diabetes dan sebaliknya, infeksi gusi dapat mempersulit pengendalian

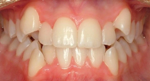
Apa Itu Gigi Berjejal (Crowding)? Gigi berjejal adalah kondisi ketika gigi tumbuh tidak teratur, saling bertumpuk, atau terlalu rapat karena ruang di rahang tidak cukup.

Kesehatan gusi sering kali kurang mendapat perhatian dibandingkan kesehatan gigi, padahal gusi memiliki peran penting dalam menjaga kestabilan gigi dan kesehatan mulut secara keseluruhan. Dua

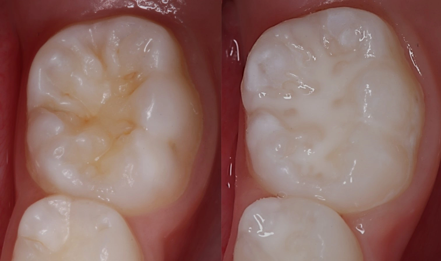
Apa Itu Pit and Fissure Sealant? Pit and fissure sealant adalah bahan pelapis tipis yang diaplikasikan ke permukaan gigi geraham permanen, terutama pada bagian lekukan

Implan gigi merupakan salah satu pilihan terbaik untuk menggantikan gigi yang hilang secara permanen. Prosedur ini melibatkan penanaman sekrup titanium ke dalam tulang rahang sebagai

Istilah “gingsul” sering digunakan masyarakat untuk menyebut gigi taring yang tumbuh agak ke luar atau lebih tinggi dari gigi lainnya, terutama pada bagian atas.Meskipun dianggap
Senin – Sabtu : 9am – 9pm
Minggu : 12am – 9pm