Apa itu Ameloblastoma?

Ameloblastoma adalah tumor jinak odontogenik (berasal dari jaringan pembentuk gigi) yang paling sering ditemukan di rahang, terutama rahang bawah (mandibula) bagian posterior (daerah molar atau sudut rahang).
Meskipun bersifat jinak (non-kanker), ameloblastoma dapat tumbuh invasif dan destruktif secara lokal, menyebabkan pembesaran tulang rahang dan deformitas wajah. Jika tidak ditangani dengan tepat, tumor ini dapat kambuh (rekurensi) setelah operasi.

Asalnya dari sisa-sisa epitel enamel (ameloblas) yang gagal berfungsi normal selama pembentukan gigi.

Ciri Khas / Karakteristik

Ciri khas dari ameloblastoma meliputi:

  • Tumbuh perlahan tetapi infiltratif (menyusup ke jaringan sekitar).
  • Umumnya terjadi pada usia dewasa muda (20–50 tahun).
  • Lebih sering mengenai rahang bawah (sekitar 80%) daripada rahang atas.
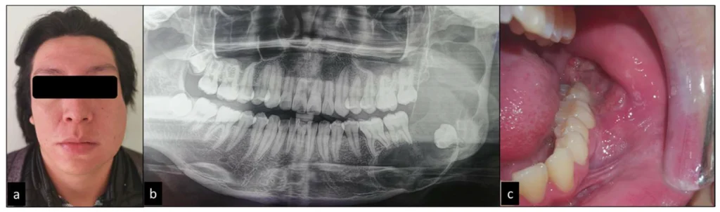
  • Tidak nyeri pada tahap awal, tetapi dapat menyebabkan pembengkakan dan deformitas wajah.
  • Secara radiologis (hasil rontgen atau CT scan), menunjukkan gambaran khas:
    • Multilokuler (“soap bubble” atau “honeycomb appearance”) — tampak seperti gelembung sabun di dalam tulang.
    • Dapat juga tampak unilokuler (rongga tunggal) terutama pada lesi kecil.

Gejala Klinis

Gejala dapat berbeda tergantung pada ukuran dan lokasi tumor, tetapi secara umum meliputi:

  • Pembengkakan rahang yang progresif dan tidak nyeri.
  • Perubahan bentuk wajah atau asimetri.
  • Pergerakan atau pelonggaran gigi di area yang terkena.
  • Kesulitan mengunyah atau membuka mulut (pada kasus besar).
  • Kebas atau parestesia jika tumor menekan saraf alveolar inferior.
  • Pada rahang atas, bisa menyebabkan gangguan sinus atau obstruksi hidung.

Penanganan / Pengobatan

Penanganan utama ameloblastoma adalah operasi (bedah) karena sifatnya yang lokal invasif dan potensi kambuh tinggi jika hanya dikuretase.

a. Pilihan Tindakan Bedah

  1. Reseksi marginal / segmental mandibula
    → Mengangkat bagian tulang rahang yang terkena dengan margin sehat (biasanya 1–2 cm).
  2. Rekonstruksi rahang
    → Menggunakan cangkok tulang (bone graft) atau plat titanium untuk memperbaiki bentuk rahang setelah reseksi.
  3. Kuretase sederhana
    → Kadang dilakukan pada lesi kecil, tetapi risiko kekambuhan tinggi (hingga 50–90%).

b. Tindakan Tambahan

  • Radioterapi jarang digunakan karena ameloblastoma relatif radioresisten (kurang responsif terhadap radiasi).
  • Follow-up jangka panjang sangat penting, karena kambuh bisa terjadi bertahun-tahun setelah operasi.

Prognosis

  • Umumnya baik bila diangkat secara menyeluruh.
  • Kambuh dapat terjadi bila pengangkatan tidak tuntas.
  • Transformasi ganas (menjadi ameloblastoma malignan atau karsinoma ameloblastik) jarang, tetapi mungkin terjadi.

📍 Dent1st Dental Care
🗺️ Klik untuk buka Google Maps