Scaling Gigi: Manfaat, Prosedur, dan Alasan Mengapa Perlu Dilakukan Rutin

Scaling gigi adalah salah satu perawatan dasar dalam dunia kedokteran gigi yang sering diremehkan. Banyak orang datang ke dokter gigi hanya saat sakit, padahal scaling gigi rutin berperan penting dalam menjaga kesehatan gusi, mencegah bau mulut, dan melindungi gigi dari kerusakan jangka panjang.

Apa Itu Scaling Gigi?

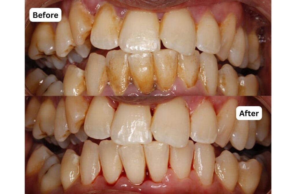
Scaling gigi adalah prosedur pembersihan karang gigi (kalkulus) dan plak yang menempel di permukaan gigi maupun di bawah garis gusi. Karang gigi tidak dapat dihilangkan dengan sikat gigi biasa dan membutuhkan alat khusus yang dilakukan oleh dokter gigi.

Mengapa Karang Gigi Berbahaya?

Karang gigi menjadi tempat berkembangnya bakteri yang dapat menyebabkan berbagai masalah kesehatan mulut, seperti:

  • Radang gusi (gingivitis)
  • Penyakit gusi lanjutan (periodontitis)
  • Bau mulut kronis
  • Gusi mudah berdarah dan bengkak

Jika dibiarkan, karang gigi dapat merusak jaringan penyangga gigi secara perlahan.

Manfaat Scaling Gigi Secara Rutin

1. Mencegah Penyakit Gusi

Scaling membantu menghilangkan bakteri penyebab peradangan gusi sebelum berkembang menjadi kondisi yang lebih serius.

2. Menghilangkan Bau Mulut

Penumpukan bakteri pada karang gigi merupakan salah satu penyebab utama bau mulut yang tidak hilang meski sudah menyikat gigi.

3. Menjaga Kesehatan Gigi Jangka Panjang

Dengan mengurangi beban bakteri, risiko gigi berlubang dan kerusakan jaringan penyangga gigi dapat ditekan.

4. Membuat Gigi Terasa Lebih Bersih dan Nyaman

Setelah scaling, permukaan gigi terasa lebih halus dan bersih.

Prosedur Scaling Gigi di Dokter Gigi

Scaling dilakukan menggunakan alat ultrasonik atau manual scaler. Prosedur ini aman, tidak merusak email gigi, dan umumnya tidak menimbulkan rasa sakit berlebihan. Pada kondisi tertentu, dokter dapat memberikan anestesi lokal untuk kenyamanan pasien.

Seberapa Sering Scaling Gigi Perlu Dilakukan?

Secara umum, scaling gigi disarankan setiap 6 bulan sekali. Namun, pada pasien dengan risiko penyakit gusi lebih tinggi, scaling mungkin diperlukan lebih sering sesuai anjuran dokter gigi.

Siapa yang Perlu Melakukan Scaling Gigi?

Scaling gigi dianjurkan untuk:

  • Dewasa dan remaja
  • Perokok
  • Penderita diabetes
  • Pasien dengan riwayat penyakit gusi

Scaling gigi bukan sekadar perawatan estetika, melainkan langkah penting untuk menjaga kesehatan mulut secara menyeluruh. Dengan scaling rutin dan kebersihan mulut yang baik, risiko berbagai masalah gigi dan gusi dapat dicegah sejak dini

πŸ“ Dent1st Dental Care
πŸ—ΊοΈ Klik untuk buka Google Maps