Penanganan Gigi Bercak Putih pada Anak: Penyebab, Perawatan, dan Pencegahan

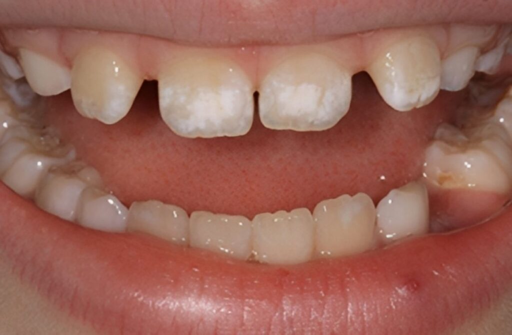
Gigi bercak putih atau yang sering disebut white spot lesions adalah tampilan bercak berwarna putih buram pada enamel gigi. Munculnya bercak ini bukan sekadar masalah estetika, tetapi sering kali merupakan tanda awal dari proses demineralisasi enamel, yaitu hilangnya mineral penting dari permukaan gigi akibat penumpukan plak dan bakteri. Jika tidak ditangani sejak dini, kondisi ini dapat berkembang menjadi karies gigi yang lebih serius.

Penyebab Gigi Bercak Putih pada Anak

Bercak putih pada gigi anak bisa terjadi karena beberapa hal, antara lain:

  1. Demineralisasi dan Plak Gigi
    Penumpukan plak yang tidak dibersihkan dengan baik menyebabkan bakteri menghasilkan asam yang memecah mineral dari enamel, sehingga muncul bercak putih pada permukaan gigi.
  2. Fluorosis Gigi
    Terlalu banyak paparan fluoride saat masa pembentukan gigi pada anak bisa memicu kondisi yang disebut fluorosis — ditandai dengan bercak putih atau cokelat yang menutupi enamel.
  3. Hipoplasia Enamel
    Gangguan pada pembentukan lapisan enamel yang membuatnya tipis atau tidak merata. Ini membuat enamel rentan terhadap bercak putih dan kerusakan lebih lanjut.
  4. Penggunaan Behel/Perawatan Ortodontik
    Area di sekitar karet dan bracket yang sulit dibersihkan mempermudah penumpukan plak dan demineralisasi enamel.

Penanganan yang Umum Dilakukan

Penanganan bercak putih pada gigi anak dilakukan berdasarkan tingkat keparahan dan penyebabnya. Berikut beberapa metode yang terbukti efektif dan banyak direkomendasikan oleh ahli gigi:

1. Remineralisasi dengan Fluoride atau CPP-ACP

Perawatan awal untuk bercak putih ringan adalah memperkuat kembali mineral enamel melalui aplikasi fluoride topikal (misalnya varnish atau gel fluoride) dan bahan remineralisasi lain seperti CPP-ACP (Casein Phosphopeptide-Amorphous Calcium Phosphate). Ini membantu mengembalikan mineral yang hilang dan mencegah perkembangan karies lebih lanjut.

2. Resim Infiltrasi

Teknik ini merupakan perawatan minimal invasif di mana resin dengan viskositas rendah diinfuskan ke area enamel yang terdemineralisasi untuk mengisi pori-pori mikro dan menstabilkan permukaan gigi. Hasilnya memperbaiki estetika dan mencegah demineralisasi berlanjut tanpa perlu restorasi besar.

3. Mikroabrasi Enamel

Teknik mikroabrasi menggunakan larutan asam abrasif ringan untuk menghilangkan lapisan tipis enamel yang ada bercak putih sehingga permukaan terlihat lebih halus dan warna lebih merata. Biasanya digunakan untuk kasus bercak yang tidak terlalu dalam.

4. Restore/Estetika dengan Veneer atau Bonding

Pada kasus bercak putih yang luas atau sangat mencolok, terutama jika berkaitan dengan fluorosis atau hipoplasia, pilihan estetis seperti veneer porselen atau bonding resin bisa dipilih. Perawatan ini memberikan hasil warna gigi yang seragam dan meningkatkan kepercayaan diri anak.

Pencegahan: Kunci Utama

Selain perawatan profesional, pencegahan sangat penting, terutama pada anak-anak:

  • Sikat gigi dua kali sehari dengan teknik yang benar dan ukuran pasta gigi sesuai usia anak (seukuran biji beras untuk <2 tahun, seukuran kacang polong untuk 2–6 tahun).
  • Pengawasan orang tua terhadap penggunaan pasta gigi fluoride agar anak tidak menelannya.
  • Rutin kontrol ke dokter gigi anak setiap 6 bulan untuk deteksi dini dan aplikasi fluoride profesional.

Kesimpulan

Gigi bercak putih pada anak, jika dideteksi sejak awal, dapat ditangani secara efektif dengan berbagai metode perawatan yang ditentukan berdasarkan tingkat keparahan. Proses perbaikan enamel melalui remineralisasi dan tindakan profesional seperti resin infiltrasi atau mikroabrasi bisa membantu memperbaiki kondisi gigi dan mencegah kerusakan lebih lanjut. Pencegahan melalui kebiasaan kebersihan gigi yang baik tetap menjadi kunci utama agar anak-anak terhindar dari masalah ini.

Daftar Pustaka

  1. Direktorat Jenderal Kesehatan Lanjutan, Fluorosis: Penyebab, Gejala, dan Penanganannya, Kemkes RI.
  2. Klinik Satria Budi, Lesi Bercak Putih pada Gigi: Penyebab, Perkembangan, dan Penanganannya.
  3. Penanganan Gigi Bercak Putih pada Anak, MHDC.co.id.
  4. Desneli, Penatalaksanaan White Spot Lesion dengan Resin Infiltrasi, Jurnal Kedokteran Gigi Universitas Padjadjaran.
  5. Mariati, Penanganan Fluorosis Gigi dengan Teknik Mikroabrasi, e-GiGi Journal.