Apakah GERD bisa menyebabkan erosi gigi? Simak penjelasan ilmiah, gejala, penyebab, dan cara pencegahan berdasarkan jurnal kesehatan terbaru.
Apa Itu GERD dan Erosi Gigi?
Gastroesophageal Reflux Disease (GERD) adalah kondisi kronis di mana asam lambung naik kembali ke kerongkongan, bahkan hingga ke rongga mulut. Kondisi ini tidak hanya menyebabkan heartburn, tetapi juga dapat berdampak pada kesehatan gigi.
Sementara itu, erosi gigi adalah hilangnya jaringan keras gigi akibat proses kimiawi oleh asam, tanpa melibatkan bakteri.
GERD dan Erosi Gigi: Apakah Berkaitan?

Jawabannya: YA, ada hubungan yang kuat.
Berbagai penelitian menunjukkan bahwa GERD dapat menjadi salah satu penyebab utama erosi gigi karena paparan asam lambung yang berulang.
- Asam lambung memiliki pH sangat rendah (sekitar 0,8–2), jauh di bawah ambang aman enamel gigi (pH 5,5).
- Paparan asam ini dapat melarutkan mineral enamel sehingga menyebabkan gigi terkikis secara bertahap.
Bahkan, sebuah studi menunjukkan:
- 35% pasien GERD mengalami erosi gigi, dibandingkan hanya 13% pada kelompok tanpa GERD.
Penelitian lain pada anak menemukan:
- 98,1% pasien GERD mengalami erosi gigi, jauh lebih tinggi dibandingkan kelompok kontrol.
➡️ Ini menunjukkan bahwa GERD bukan sekadar masalah lambung, tapi juga bisa berdampak langsung ke kesehatan gigi.
Bagaimana GERD Bisa Merusak Gigi?
Prosesnya cukup “diam-diam tapi destruktif”:
- Asam lambung naik ke mulut (refluks)
- pH rongga mulut turun drastis
- Mineral enamel larut (demineralisasi)
- Gigi menjadi tipis, sensitif, dan mudah rusak
Menurut jurnal Indonesia, GERD termasuk faktor intrinsik utama yang menurunkan pH mulut dan meningkatkan risiko erosi gigi.
Selain itu, jika terjadi terus-menerus, saliva (air liur) tidak mampu menetralkan asam secara optimal.
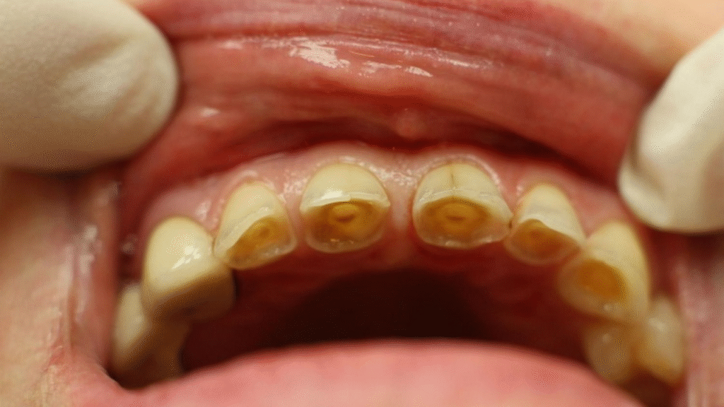
Gejala Erosi Gigi Akibat GERD
Menurut artikel Healthline oleh Lovering (2023), tanda-tanda yang perlu diwaspadai antara lain:
- Gigi sensitif terhadap panas, dingin, atau manis
- Permukaan gigi terlihat lebih halus atau mengkilap
- Perubahan warna (kekuningan karena enamel menipis)
- Tepi gigi menjadi transparan atau mudah terkikis
- Nyeri saat mengunyah
Selain itu, dokter gigi sering menjadi pihak pertama yang mendeteksi GERD karena melihat pola erosi khas pada gigi pasien.
Apakah Semua Penderita GERD Pasti Mengalami Erosi Gigi?

Tidak selalu, tapi risikonya meningkat signifikan.
Faktor yang memengaruhi antara lain:
- Frekuensi refluks asam
- Kebiasaan makan/minum asam
- Produksi air liur
- Kebersihan mulut
Meta-analisis juga menyimpulkan bahwa terdapat hubungan kuat antara GERD dan erosi gigi, terutama pada orang dewasa.
Cara Mencegah Erosi Gigi pada Penderita GERD
Kalau kamu punya GERD, ini langkah penting:
1. Kendalikan GERD
- Hindari makanan pemicu (pedas, asam, kopi)
- Jangan langsung berbaring setelah makan
- Konsultasi ke dokter untuk terapi
2. Lindungi Gigi
- Jangan langsung sikat gigi setelah refluks (tunggu ±30 menit)
- Gunakan pasta gigi berfluoride
- Kumur dengan air atau larutan baking soda
3. Rutin ke Dokter Gigi
- Deteksi dini erosi
- Perawatan remineralisasi enamel
Menurut Lovering (2023), kombinasi pengobatan GERD dan perawatan gigi sangat penting untuk mencegah kerusakan lebih lanjut.
Kesimpulan
GERD memang bisa menyebabkan erosi gigi.
Paparan asam lambung yang berulang menjadi faktor utama yang merusak enamel dan meningkatkan risiko kerusakan gigi.
Hubungan ini sudah didukung oleh banyak penelitian ilmiah, baik internasional maupun Indonesia. Jadi, kalau kamu punya GERD, jangan cuma fokus ke lambung—gigi juga perlu perhatian ekstra.
Daftar Pustaka
- Lovering, C. (2023). GERD and your teeth: Symptoms, treatments, and prevention. Healthline. https://www.healthline.com/health/gerd/gerd-teeth
- Picos, A. M., et al. (2013). Prevalence of dental erosions in GERD: a pilot study. PMC.
- Farahmand, F., et al. (2013). Gastroesophageal reflux disease and tooth erosion: A cross-sectional observational study.
- Kumalaseta, S., et al. (2023). Gambaran Erosi Gigi Pada Pasien GERD di UPT Puskesmas Pajang. Jurnal Ners.
- Yanushevich, O. O., et al. (2022). Prevalence and Risk of Dental Erosion in GERD Patients: A Meta-Analysis.
- Systematic Review: Gastroesophageal reflux disease and tooth erosion.